uCS®2.0 Platform
Technology
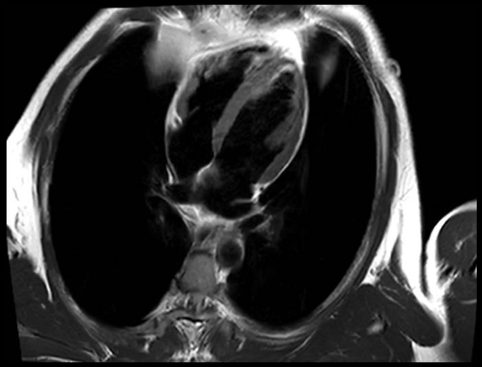
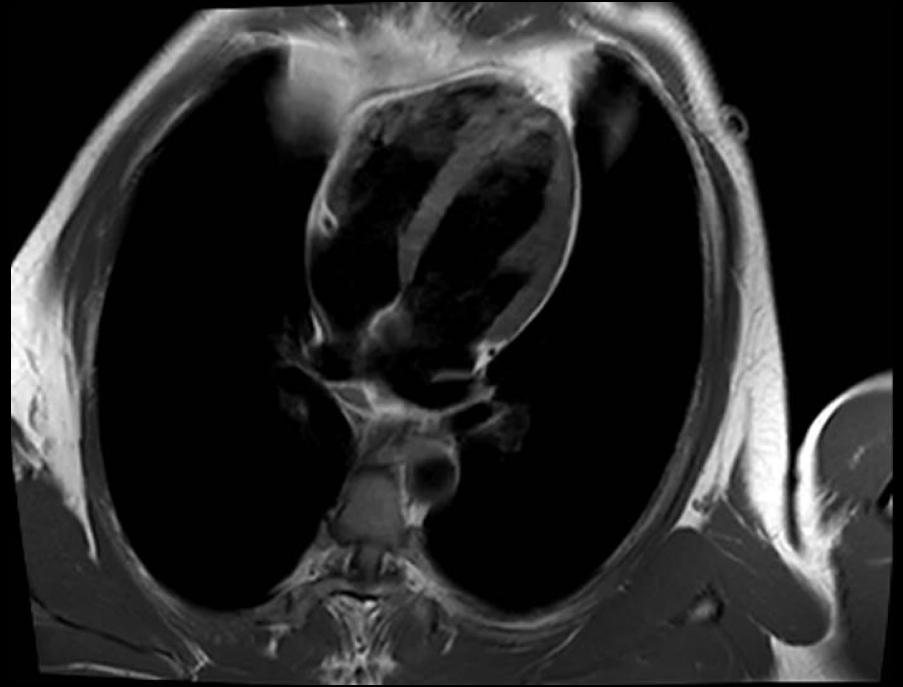
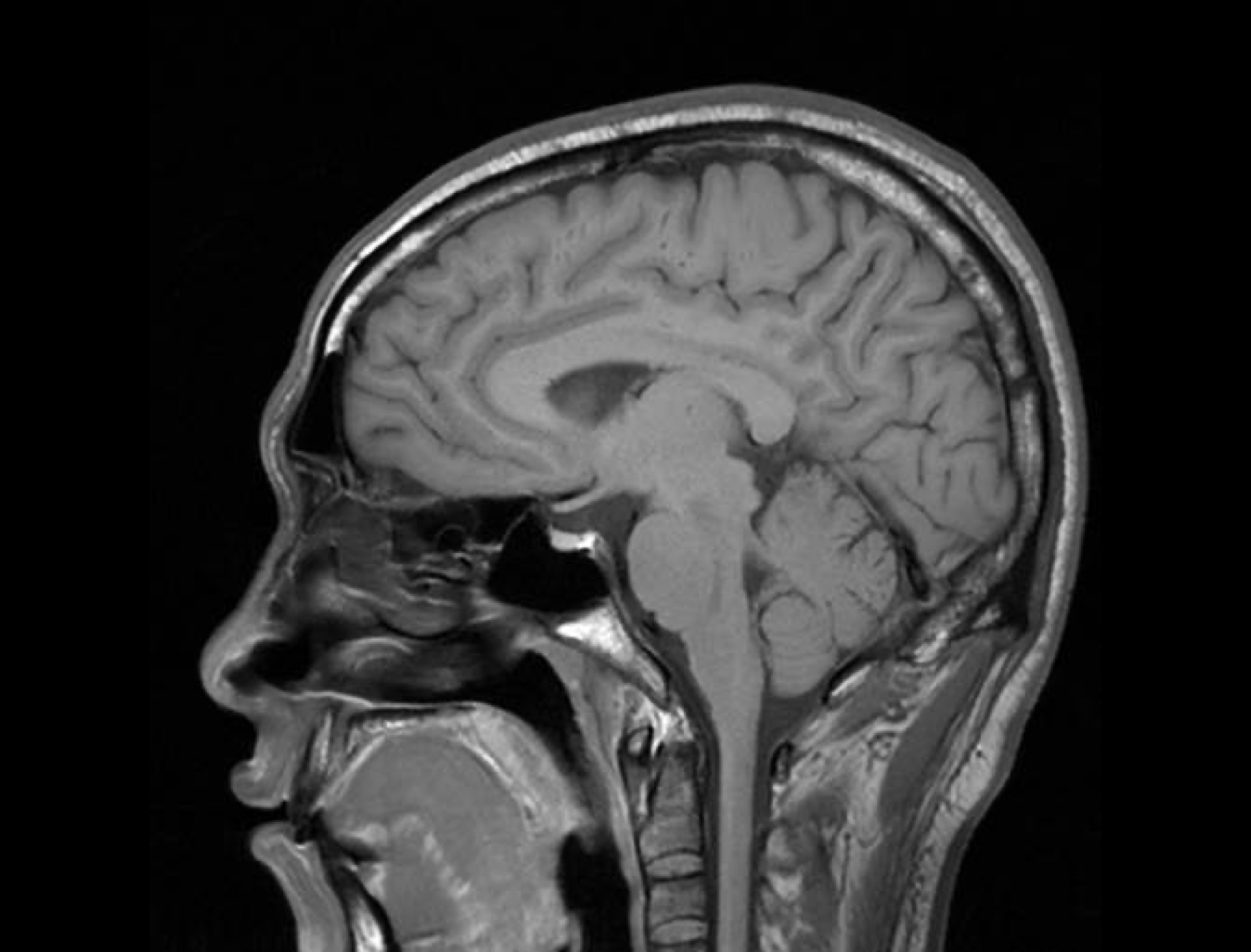
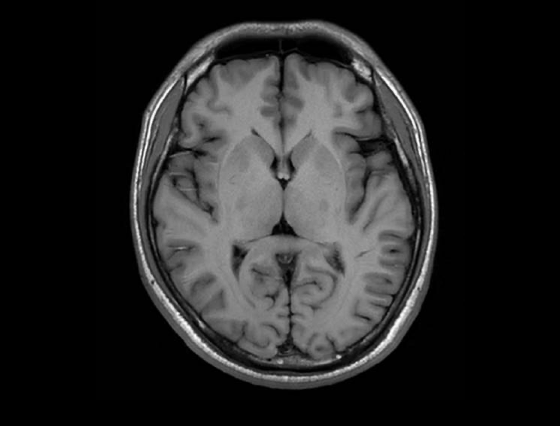
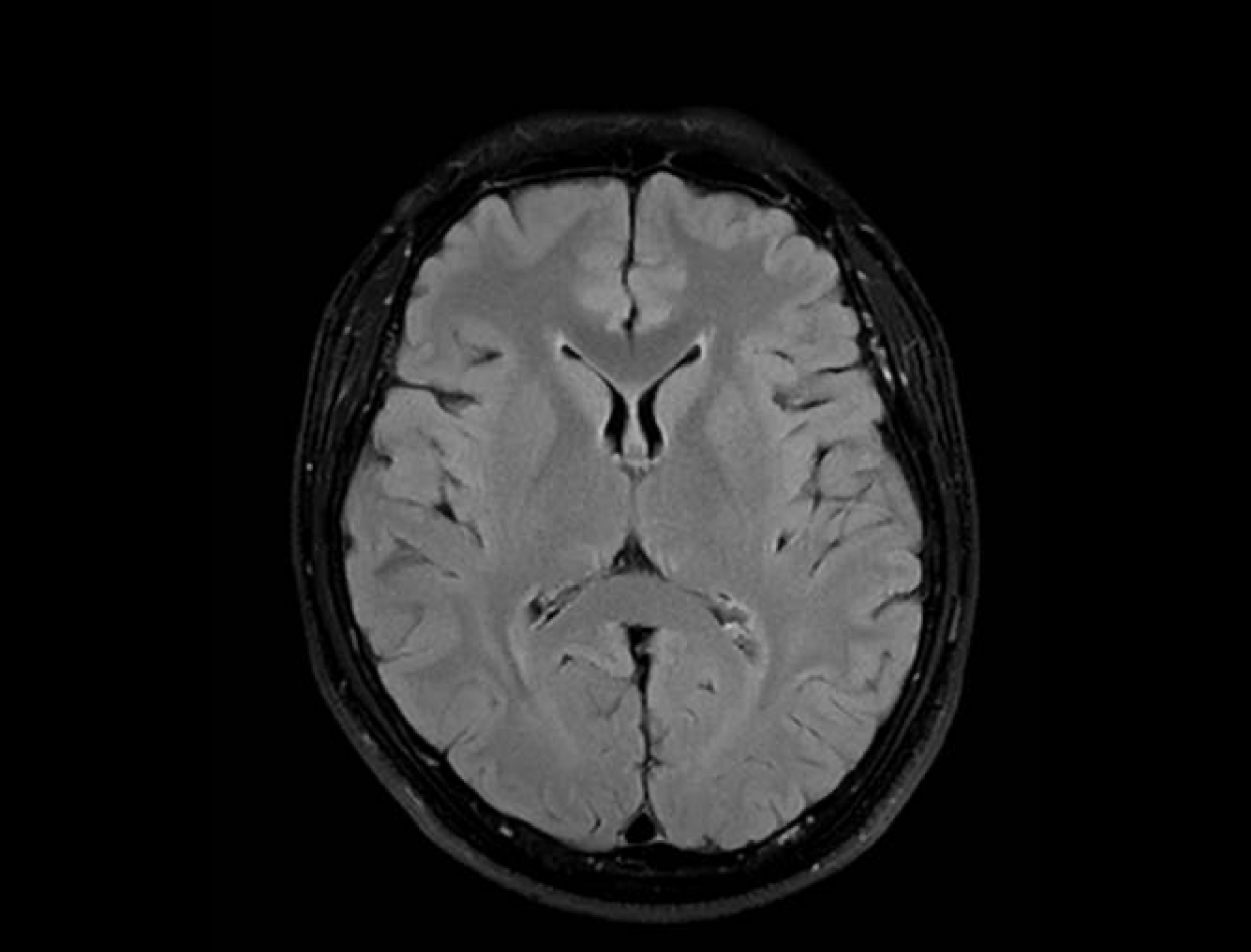
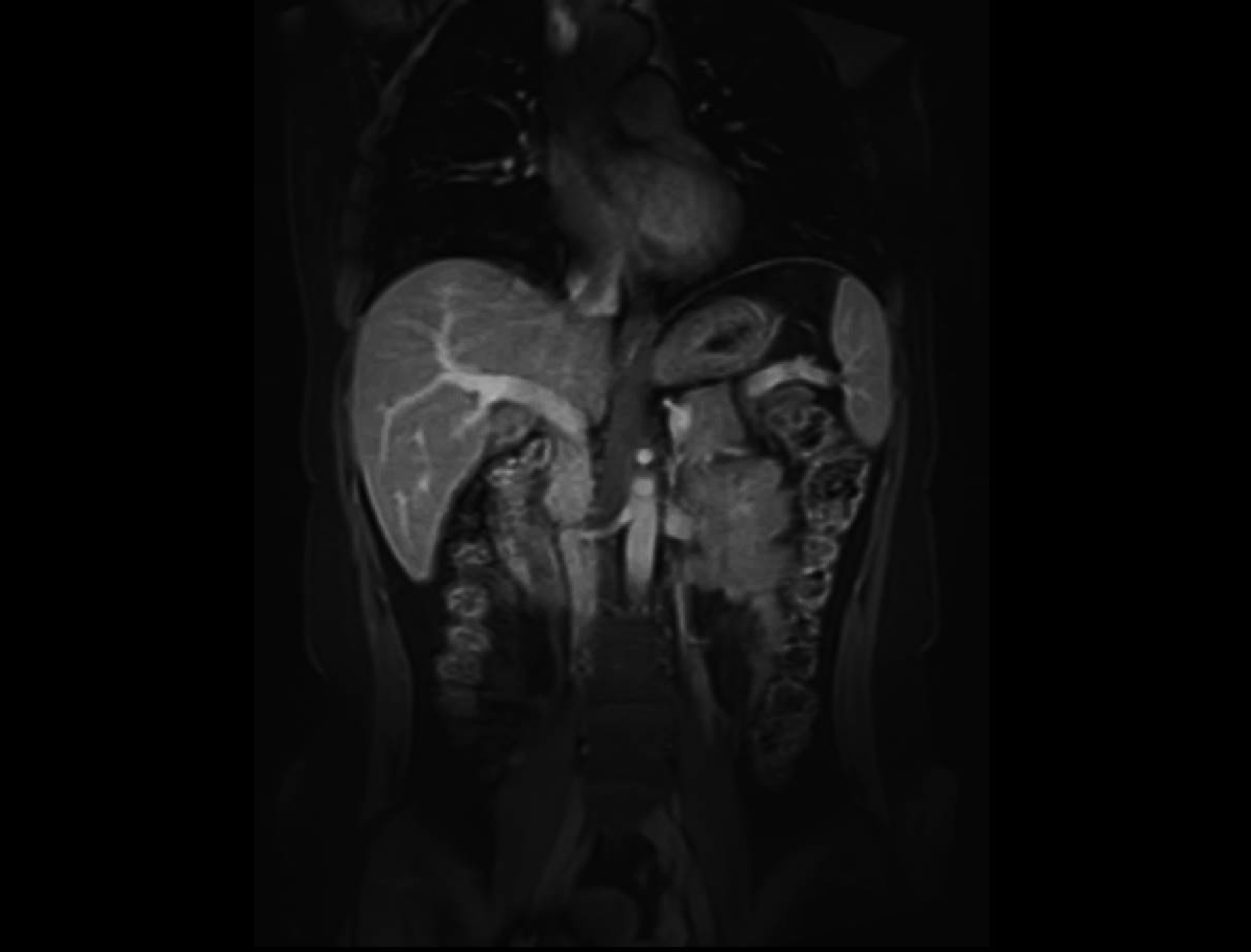
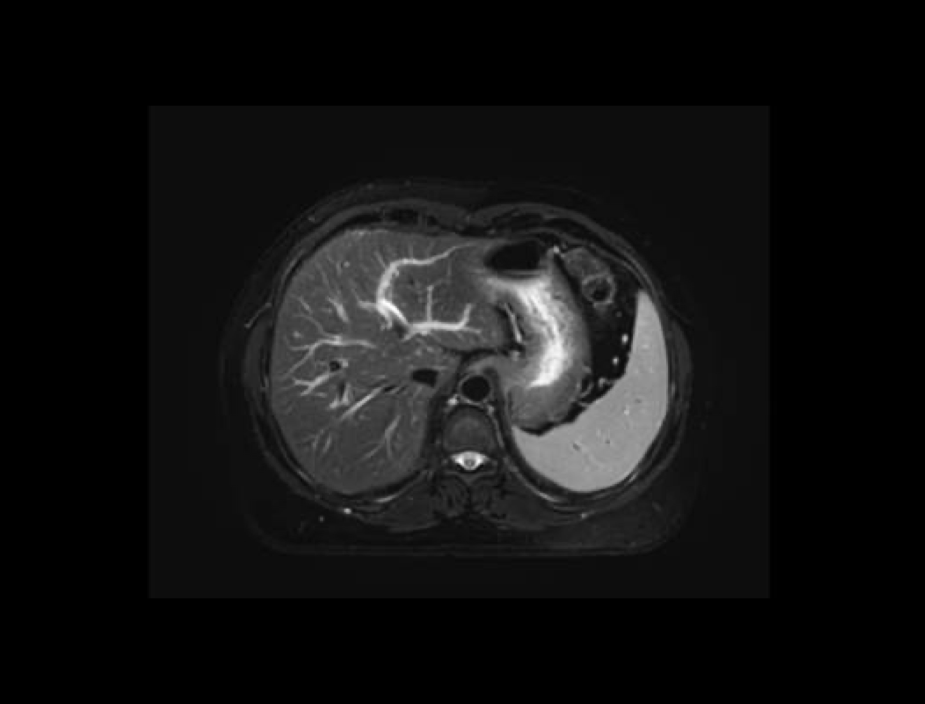
The uCS®2.0 Imaging Technology combines the strength of conventional acceleration technologies and innovative compressed sensing, bringing shorter scan times and higher image resolution of MRI with a maximum acceleration factor of 16x and sub-millimeter isotropic spatial resolution.
The uCS®2.0 Processing Engine is a high-performance computing hardware platform that includes memory, data network and a premier CPU. The intelligent reconstruction algorithm complements the outstanding computational power, resulting in ultra-fast reconstruction.

