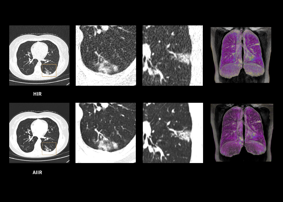
AIIR* – AI Iterative Reconstruction
Throughout the iterative loop of forward and backward projection between the raw data domain and the image domain, AIIR consistently takes into account the accurate modeling of optics, noise, anatomy, and physics statistics. Additionally, AIIR integrates deep learning-based de-noising technology, supplanting the conventional regularization role of MBIR in the optimization reconstruction process.
In brief, AIIR utilizes deep learning-based AI technology to attain robust noise reduction and natural image texture, while incorporating MBIR technology to achieve precise anatomical structure representation and artifact suppression. This technique surpasses the limitations of using either MBIR or deep learning reconstruction (DLR) independently.
Learn More
**First 510(k) FDA Cleared; CE marked

