uAIFI Inside

搭载uAIFI Technology技术平台,凝聚多项全球首创核心技术,全链条革新磁共振硬件、软件设计,实现系统性能、扫描智能化、成像速度与信噪比的大幅提升,同时赋予患者更舒适的检查体验,开启磁共振“类脑”时代。

超级梯度系统

前所未有的高性能梯度,助力神经探索

在uMR 890上,我们将科研型磁共振的梯度性能推向了新的高度。前所未有的120mT/m & 200T/m/s的强劲梯度性能带来了更短的TE时间,更将高分辨率脑功能成像的时间分辨率提升了20%之多。强大的梯度性能还能获得更准确的弥散模型,创造更优质的脑功能激发环境,捕捉更微小与高频的神经元活动。

3.5MW 梯度放大器

梯度功率放大器(GPA)性能是决定磁共振梯度性能的核心部件,uMR 890搭载的自主研发的超大功率梯度功率放大器为高性能梯度与梯度系统的连续稳定工作提供重要保障

超高密度神经科研线圈*

*前沿科研探索,尚未进入临床应用
64单元

高密度头线圈设计。

100%密度提升

较联影头线圈-32密度提升100%。

10×加速

支持脑功能成像10倍加速。

科研探索

uMR 890 以其卓越的稳定性与强大的性能,提供丰富的临床科研序列与全面的数据处理功能平台,为脑功能研究、脑部退行性改变研究,组学研究与转化医学研究提供助力,共攀磁共振科研新高峰。

临床应用

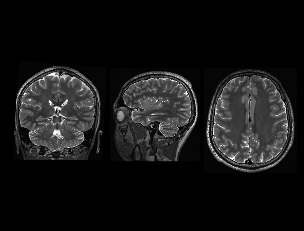
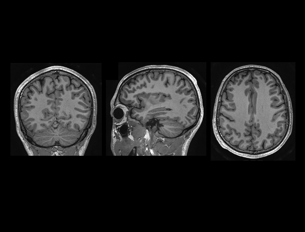
神经系统高分辨 T1 GRE-FSP 3D
神经系统高分辨 T2 MATRIX 3D
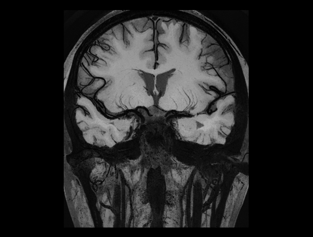
神经系统高分辨率 TOF-MRA
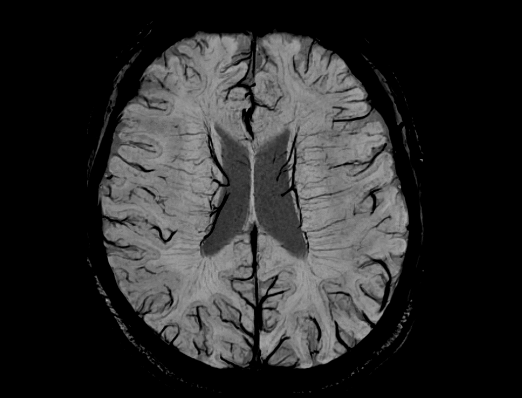
深部髓质静脉高分辨SWI
高分辨豆纹动脉
高分辨内耳精细结构 T2 FSE
1280方向 DTI
高分辨弥散谱成像DSI
高分辨纤维束追踪成像 HARRDI
全身成像