压缩感知·精准成像
精准成像
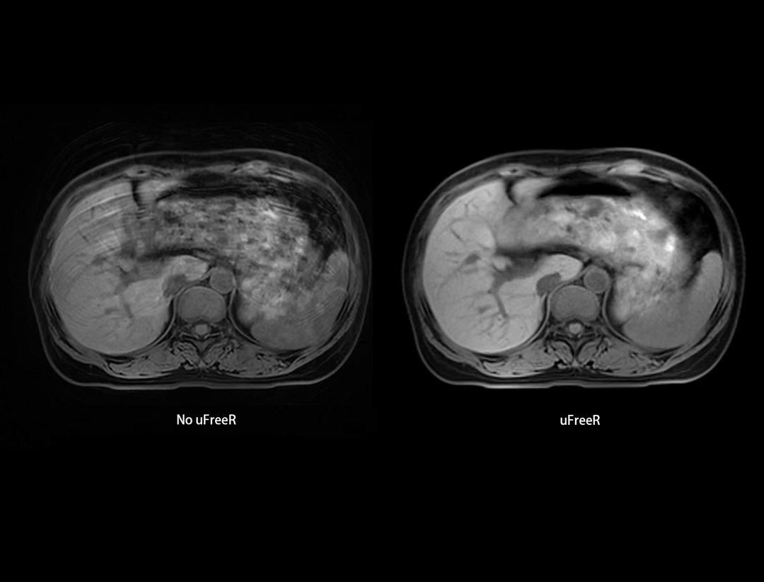
在提升扫描效率的同时,保持优异的解剖细节与对比度。
高效高收益
大幅提升患者流通量。

