世界首台75cm超大孔径3.0T磁共振

以毫厘间的精进,实现行业梦想的跃进:突破边界,助力妇幼胎儿、运动医学检查,“解锁”放疗模拟定位、术中磁共振等临床科研全新场景,让精准诊断与个性化治疗互联互通;结合uAIFI Technology“类脑”技术平台,全力聚焦患者关怀与快速精准成像,引领超大孔径“头等舱”体验变革。

实现行业梦想的跃进

业界首创75cm超大孔径

更舒适的扫描环境与患者体验

「头等舱」体验革命

精准诊断与个性化治疗互联互通

「精准诊疗」多维拓展

uAIFI Inside

搭载uAIFI Technology技术平台,凝聚多项全球首创核心技术,全链条革新磁共振硬件、软件设计,实现系统性能、扫描智能化、成像速度与信噪比的大幅提升,同时赋予患者更舒适的检查体验,开启磁共振“类脑”时代。

超大孔径「头等舱」体验革命

75cm 超大孔径

较传统大孔径设备提供更多空间,提供更舒适的扫描环境。

超快速「静音」扫描

结合ACS智能光梭成像,不降低扫描速度完成QScan“静音”扫描,大幅提升患者检查体验。

超大孔径硬件平台

超大孔径净磁体

全新97cm超大孔径净磁体技术,既可以实现75cm的超大孔径,也可以实现系统的高性能表现。15%的超导线绕制密度增加配合科研级匀场技术,实现比传统大孔径更优异的磁场均匀度。

3.5MW梯度功率放大器

搭载自主研发的超大功率3.5MW梯度功率放大器,使uMR Omega实现75cm超大孔径环境下的高梯度性能。

临床应用

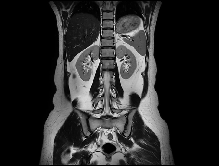
60 cm 超大视野腹部 T2W
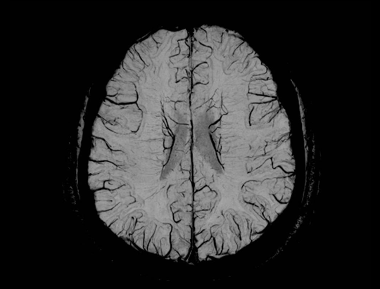
神经系统256方向DTI
高分辨海马体 T2W
高分辨血管壁 T1W Matrix 3D FS
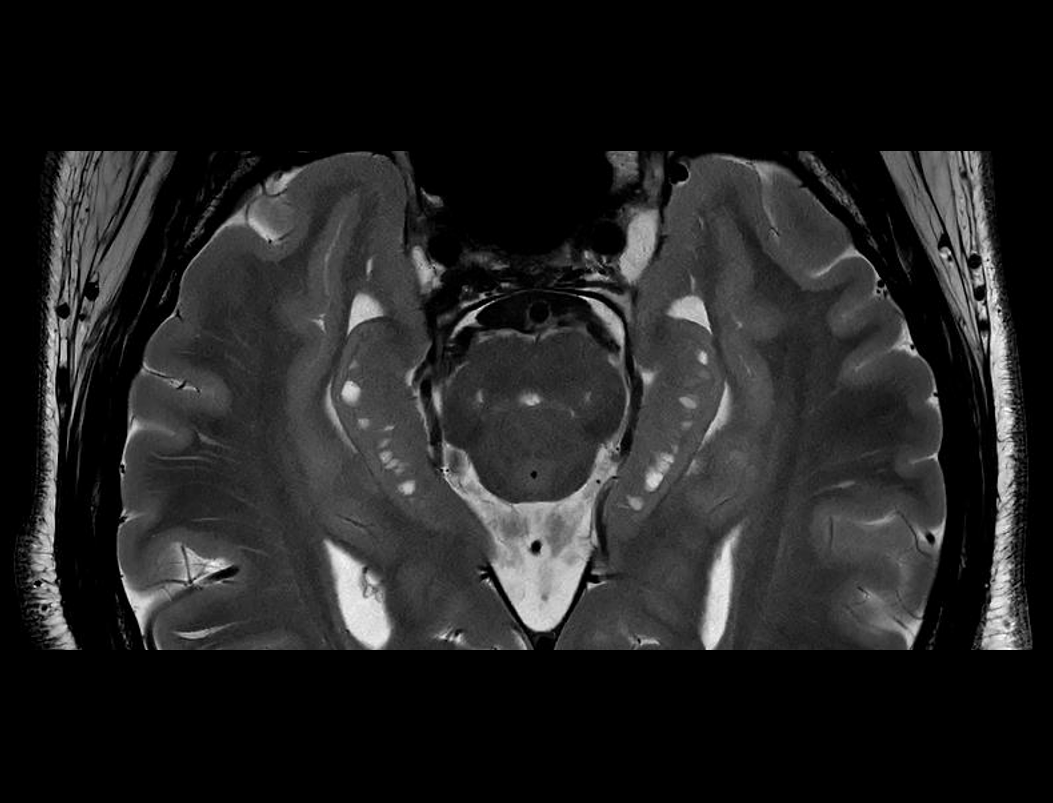
神经系统 SWI+
前列腺 MRS
全身弥散 DWI
膝关节 PDW FS
踝关节 PDW FS