创芯无极,生为领航

uMI Panorama搭载联影首款高端医学影像专用芯片,首次实现180ps量级超高时间分辨率,全维度性能业界领先,全力推动分子影像技术朝着更精准、更有温度以及诊疗一体化三大方向加速演进。

由精细向精准

全面刷新PET影像感官

由冰冷向有温度

成就更舒适高效的扫描体验

由临床向科研探索

解锁更多应用新场景

uExcel Technology
全面赋能

uExcel Technology 以源头级创 「 芯 」 与 「 无极 」 探测器为牵引,集结精密晶体制造工艺、智能传感器、AI 重建引擎等核心技术,赋能新一代全数字化PET-CT系统 uMI Panorama,全面革新整机设计,开启精准诊疗新时代。

uExcel UDP
全芯无极数字PET探测器

钻石晶面工艺

30%光产额提升成就更高时间和能量分辨率

PET探测器专用
「中国芯」

10兆级芯片事件能力成就超高时间分辨率性能

100% SiPM覆盖

大幅缩短光子传输路径,实现光子信号全捕捉

轴向视野无极拓展

探测器平台支持轴向视野扩展

精细PET成像 成就精准诊断

uExcel UDP硬核科技刷新PET影像感官
1.4mm

高清空间分辨率

189ps

时间分辨率

21 cps/kBq

系统固有灵敏度

28,35cm

可扩展PET轴向视野

精细扫描工作流 助力精准诊断

传统PET-CT工作流

操作繁琐、过程耗时、影像结果不精准

uExcel Scan AI全智能扫描管理

操作简洁、过程高效、影像结果更加精准

有温度 让检查适应患者

uExcel DPR*全面优化PET-CT扫描条件
多维神经网络渐进
学习

兼顾噪声、对比度、分辨率等多维度进行分布渐进式学习优化

探索者高质量图像
训练集

极低噪声、高对比度uEXPLORER海量优质图像训练集有效保证输出结果的可靠性

PET图像全维优化

同时实现图像对比度、噪声、信噪比三重优化

*uExcel DPR仅供科研使用

AI嵌入式迭代

多个神经网络嵌入迭代重建中,加速图像收敛

开拓诊疗一体化新视野

为临床科研解锁无限可能
超高探测器信号采样通道密度

自研分子影像专用芯片强力技术支撑

更宽放射性药物活度范围显像

具备更高峰值等效噪声计数率

为新型示踪剂显像研究提供广阔探索空间

支持68Ga、 90Y、18F、82Rb、15O等不同半衰期、不同核素药物高清显像

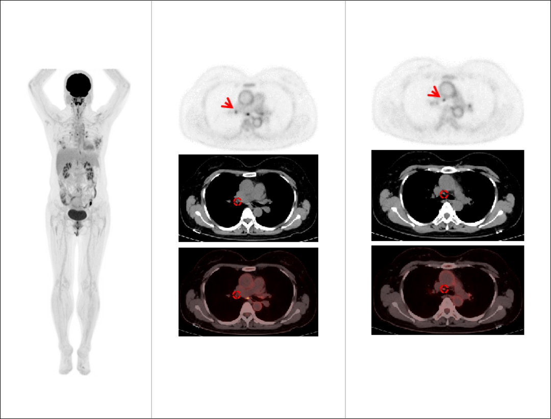
临床应用

高清脑部显像
微小淋巴结高清显像
鼻咽癌头颈部单床位大范围扫描
肺癌胸腹部单床位大范围延迟扫描
大体重患者主动脉血管结构清晰显示
68Ga-DOTA-NOC PET/CT 高清显像