CT时空探测器

高度集成化结构,直接输出数字信号,大幅降低噪声,低辐射剂量与高图像质量兼得
以高速稀土陶瓷材料打造高效能闪烁晶体材料,提高X射线转换效率与响应速度
提供海量原始数据,从CT影像链源头提升成像质量,细微结构清晰显示
数字成像 · 智能高效
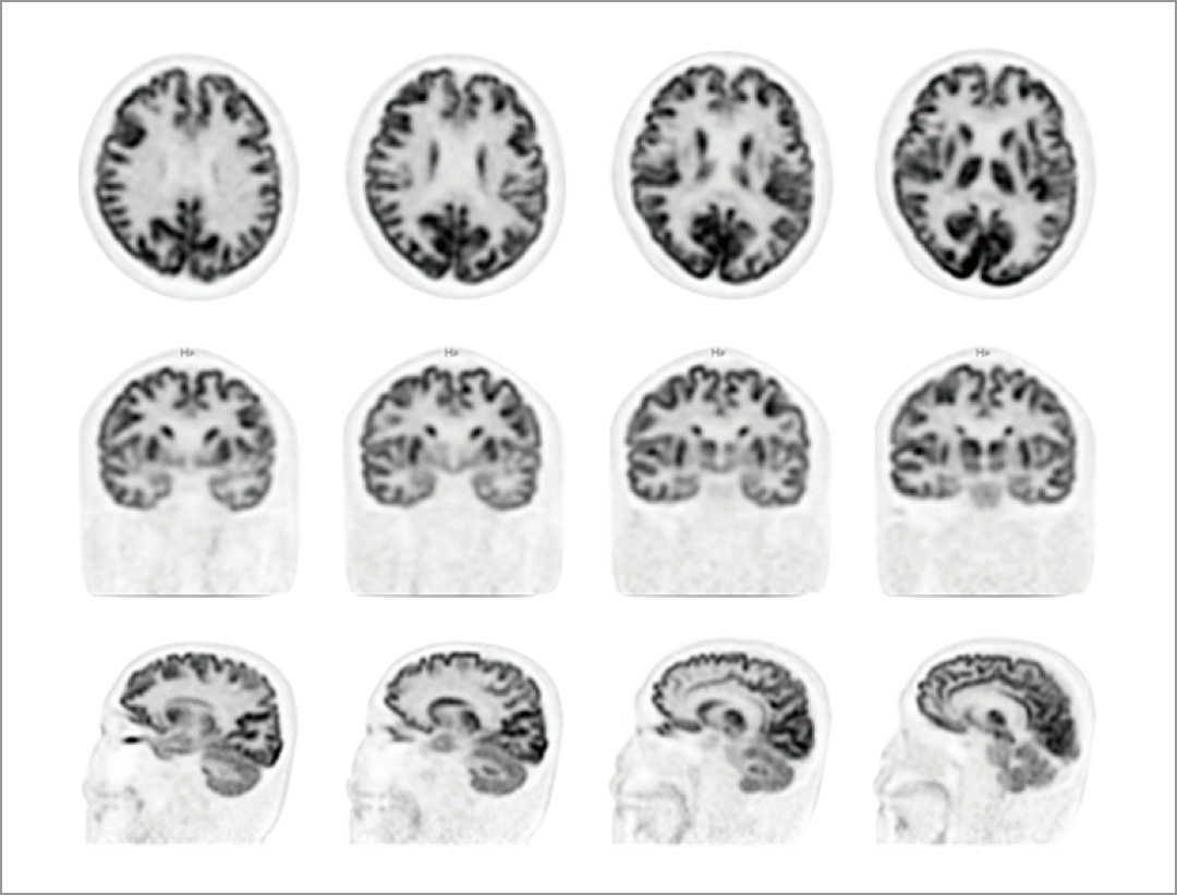
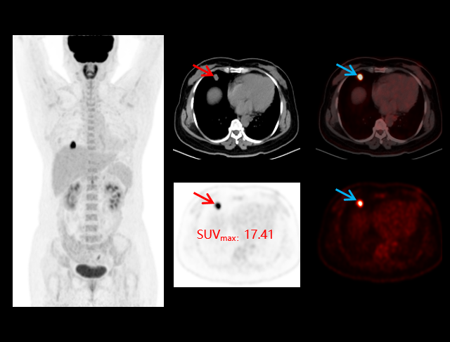
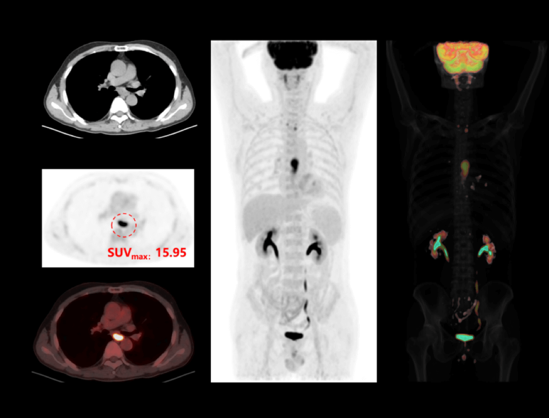
uMI 550搭载自主研发的新一代数字光导探测器,引领PET从「模拟化 」到「数字化 」的时代跨越,系统性能实现多重突破,以超低剂量实现高清成像,大幅提升病灶探测能力;全智能工作流,让临床诊断更精准、更高效、更关爱。
数字光导与蜂眼技术
超高分辨率与灵敏度
智能技术驱动极速扫描
双低剂量,精准影像
HYPER ILG®光导一体化
探测器晶体模块与光导一体化设计,提高光收集和输出效率,同时实现空间分辨率和时间分辨率的双重突破
集成SiPM
与晶体模块紧密衔接,有效提高光电转换效率,实现图像质量与系统稳定性的提升
蜂眼切割
蜂眼切割工艺铸就探测器晶体精细尺寸,为高分辨率成像奠定基础
模块化设计
高度集成的探测器模块化设计,有效减少前端电子电路信号损失,提升系统性能和可维护性
高度集成化结构,直接输出数字信号,大幅降低噪声,低辐射剂量与高图像质量兼得
以高速稀土陶瓷材料打造高效能闪烁晶体材料,提高X射线转换效率与响应速度
提供海量原始数据,从CT影像链源头提升成像质量,细微结构清晰显示
支持每日自动无源质控,同时支持液态18F和固态68Ge源质控,并提供性能测试工具
无需外接硬件传感器,扫描中实时监测并校正患者主动及非主动性头动,并对操作者做出提示
无需外接门控设备,基于PET原始数据,模拟呼吸曲线,提供数字门控图像及数据
追踪患者随访数据,提供基于PERCIST和RECIST标准的肿瘤评估一站式解决方案