
简洁 · 不简单
简洁 · 不简单
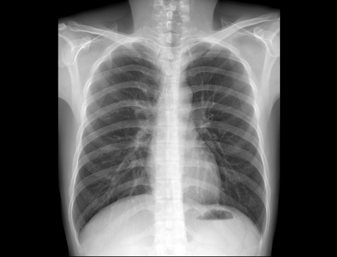
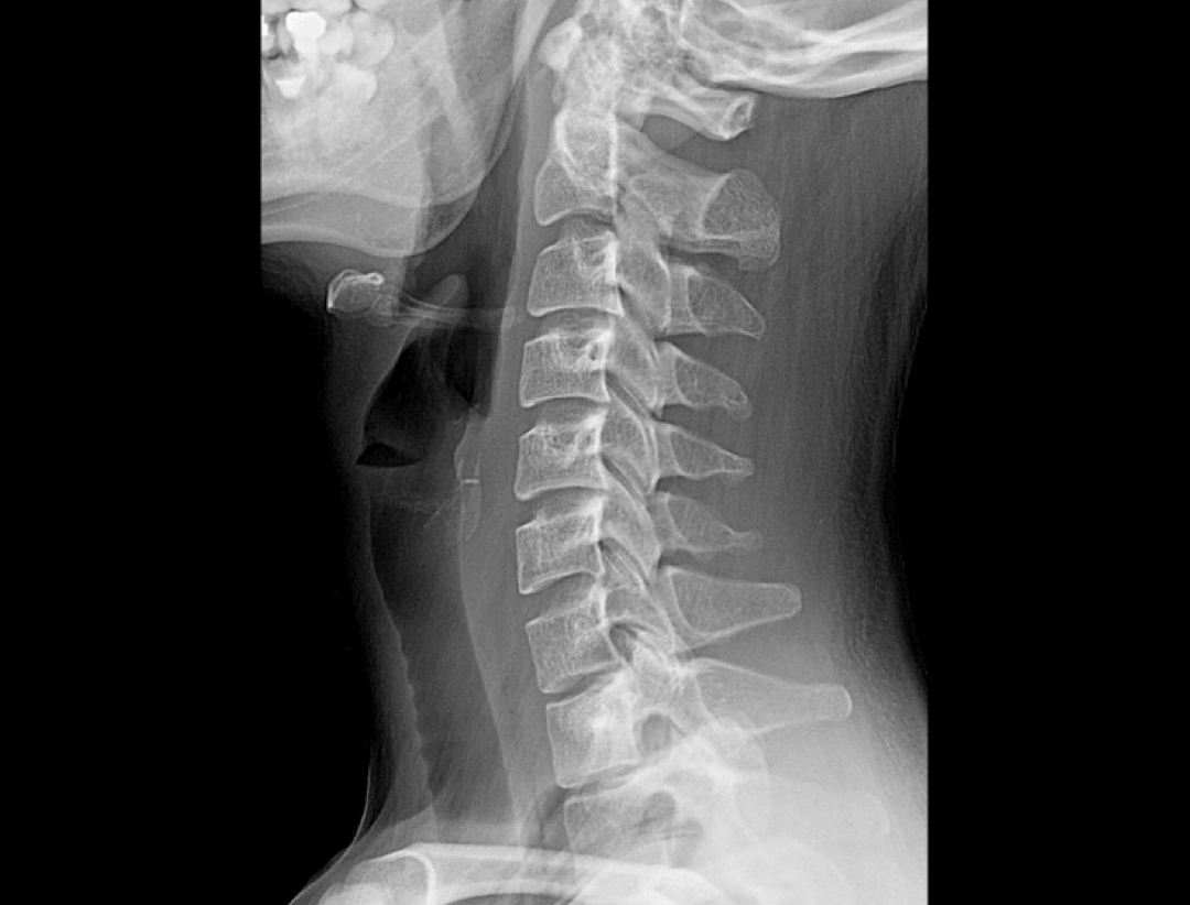
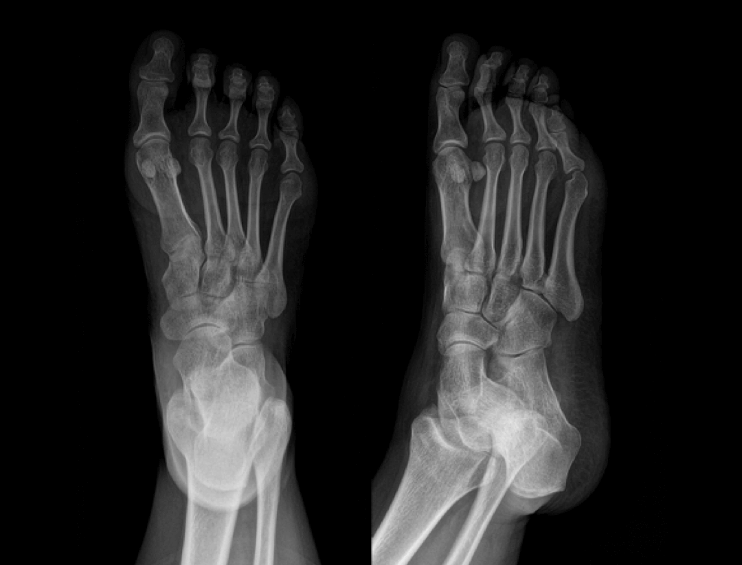
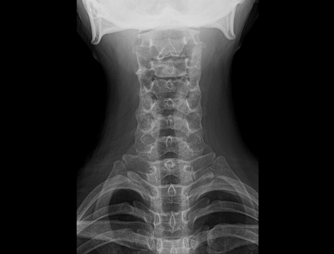
uDR 266i 落地U型臂DR,一体化结构,支持多种临床场景一键摆位,智能简化工作流,高效摄片,满足大流通量检查需求;防水防潮兼具高稳定性的整机工艺,极具高性价比,全面满足医院、诊所、体检中心放射检查需求。
高效满足常见临床需求
一键智能摆位
临床摆位更自由
大尺寸无线平板探测器
大通量摄影游刃有余
平板实时在线充电
坚实耐用
高强度耐磨特种钢机身结构
一键智能摆位
多种智能摆位模式,满足多样临床需求。
智能远程遥控
机械运动、系统曝光、开关机随心远程操控。
无忧结构
采用高强度耐磨特种钢结构,配备尖端齿隙消除与锁紧装置,坚实耐用,持久维新。
智能故障自诊断平台
高度集成一体化设计,设备状态实时监测反馈和记录。