智能脑出血识别系统*

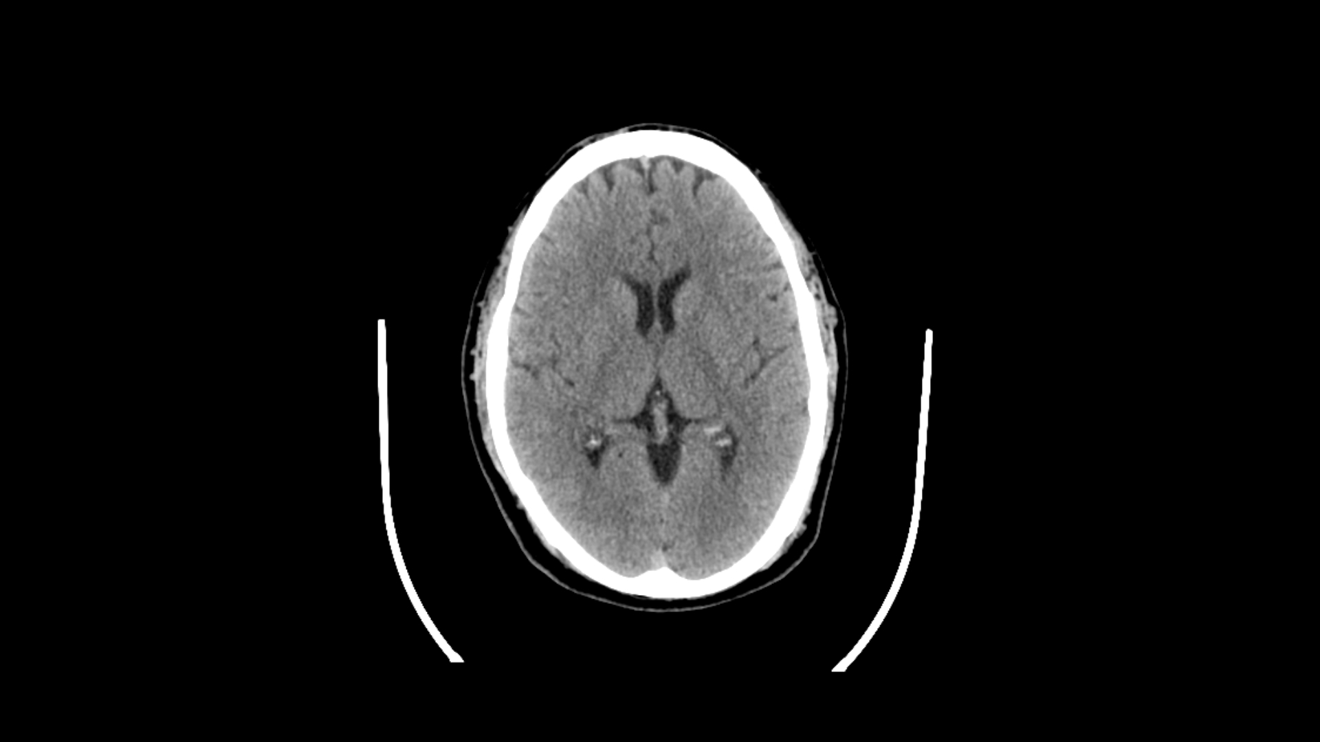
针对每一次头部扫描,后台智能开启,若检测到疑似出血,则进行界面紧急预警,提示用户注意脑出血风险并及时响应。
支持自动筛选脑出血层面,无需手动翻页繁琐挑选,助力用户高效进行脑出血诊断。
得益于多亚型分类深度学习网络以及海量训练数据,Al算法可精准识别常见脑出血类型。
扫描完成后,系统支持快速生成脑出血评估结果,包含出血层面图像以及出血类型。辅助用户快速定位出血位置及规划后续治疗方案。
知你所想 · 智启未来
uCT Orion Eco凭借超凡感知力,精准洞悉用户细微需求,为扫描赋予前所未有的智能体验,为日常诊断注入高效动力。整机搭载全新稳定可靠的硬件,历经全面可靠性测试,成为用户安心扫描的坚实后盾。uCT Orion Eco还专注于优化用户的运营成本,确保每台设备都能物超所值,实现扫描价值最大化。
酣畅扫描的全新体验
超凡感知 从容智扫
无忧扫描的安心之选
硬件实力 全面精进
智慧扫描的持续赋能
高效协同 绿色运营
针对每一次头部扫描,后台智能开启,若检测到疑似出血,则进行界面紧急预警,提示用户注意脑出血风险并及时响应。
支持自动筛选脑出血层面,无需手动翻页繁琐挑选,助力用户高效进行脑出血诊断。
得益于多亚型分类深度学习网络以及海量训练数据,Al算法可精准识别常见脑出血类型。
扫描完成后,系统支持快速生成脑出血评估结果,包含出血层面图像以及出血类型。辅助用户快速定位出血位置及规划后续治疗方案。
从场地准备、设备培训到长期使用,全生命周期赋能,助力用户绿色高效运营
机架占地面积仅3.95m2,为扫描间预留出更多可舒适操作的空间。
机架重量仅为960kg,与上一代产品相比,机架减重20%。可满足大多数场地电梯荷载的要求,设备安装与运输更加轻便快捷。
扫描间隙可一键进入uEco节能模式,并可快速唤醒至扫描就绪状态,在保证优质稳定图像质量的同时可以显著降低设备能耗。
全新协议共享平台汇集多样高质量扫描协议,覆盖不同扫描部位与类型,优质协议触手可得。同时,共享平台支持定点传输,满足上下级院间协议高效互传及协议标准化需求。
用户可灵活选择下载补丁包、病毒库等文件,并自由规划安装时间,提升设备与平台安全防护性能的同时避免占用扫描时间,进一步优化医院运营效率。
服务工程师可通过远程协作,实时查看设备状态,排除潜在故障风险,为医院的高效运营保驾护航。此外,培训工程师或用户间也可通过远程协作进行远程培训、协议优化,持续提升扫描专业能力。