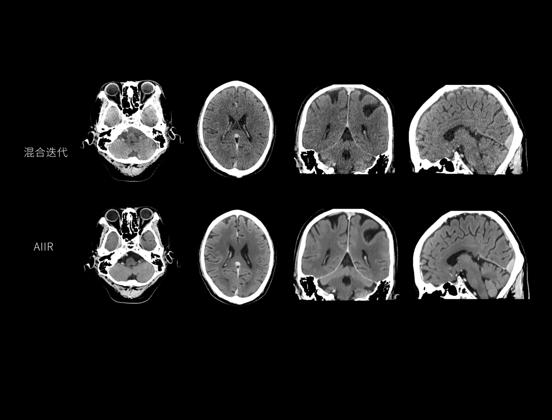
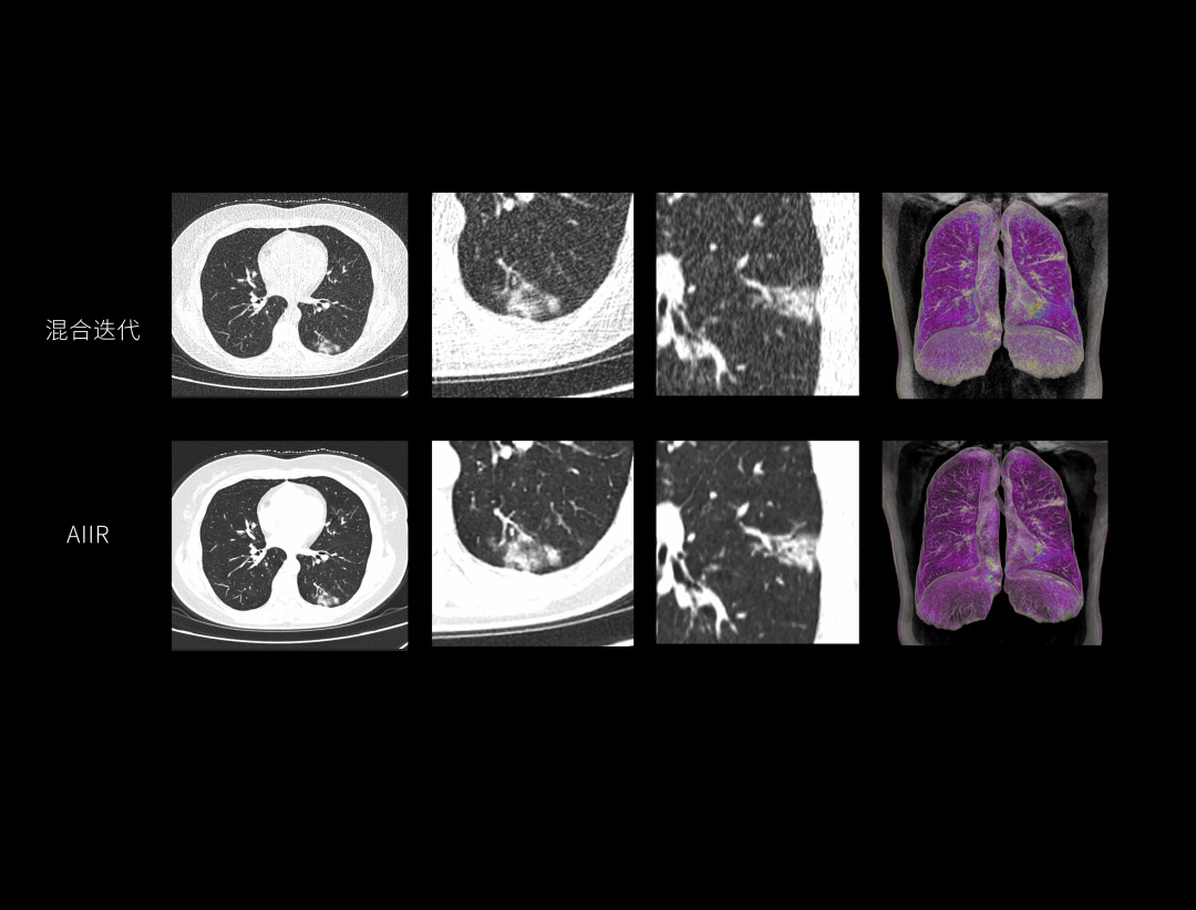
AIIR双精度图像感知
低剂量高清成像全面优化
AIIR图像重建提升结果图像可解释性与算法鲁棒性,获得低剂量下的高清成像,超越传统,引领CT成像新标准
超大数据计算量与超高计算效率,实现AIIR图像快速运行与并行处理,方便图像处理与研究开展
299,520个探测器单元构成了16cm的宽体时空探测器,采集海量原始数据,从源头提升成像质量,精微显示细小结构

